Atenção: não realizamos tratamentos gratuitos ou pelo SUS.

Endereço: Qd 39 Lt13, Av. Elizabeth Marques – St. Maysa, Trindade – GO, 75380-000

Horário de Funcionamento: Segunda à Sexta: 08:00 às 18:30 / Sábado: 8:00 às 12:00

Contatos: (62) 99330-6045 / odontologiamaysa@gmail.com

Implantes dentários em Trindade

Implantes dentários em Trindade

Na ausência de um ou mais dentes a Odontologia Maysa tem a solução ideal para você!

Temos o Tratamento Certo para Você!

Se Alimente com Prazer

Encontre novamente seu prazer em saborear alimentos sem ter que se preocupar. Os implantes são totalmente firmes e não atrapalham no paladar como as dentaduras.

Sorria com Alegria

Seu Sorriso é seu maior canal de expressão, traga toda a alegria de volta para seu rosto e para sua vida. Invista no que é prioridade: Você mesmo!

Rápido e Sem Dor

O tratamentos de Implantes hoje em dia são altamente tecnológicos, e permitem um procedimento rápido e indolor, de recuperação quase que imediata.

Os Benefícios dos Tratamentos

Implantes dentários

Implantes dentários são suportes ou estruturas de metal (normalmente de titânio) posicionadas cirurgicamente no osso maxilar abaixo da gengiva para substituir as raízes dentárias. Uma vez colocados, permitem ao dentista montar dentes substitutos sobre eles.

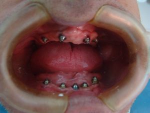
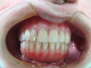
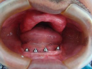
Veja os resultados de nossos pacientes

A Nossa Clínica Odontologia Maysa

A Clínica Maysa é um espaço de saúde odontológica e bem-estar para realizar seus tratamentos. Nossa grande paixão é devolver e manter o sorriso de nossos pacientes! Somos uma equipe multidisciplinar com várias especialidades em um ambiente acolhedor, humanizado e com uma odontologia de ponta.

gostou?

Agende uma avaliação com a
Clínica Odontologia Maysa

Receba o melhor de nosso atendimento para uma
avaliação profissional realizada diretamente pelo Dr. Marcelo Ito e equipe.

Faça o seu agendamento diretamente pelo no nosso
formulário ou, se preferir, tire suas dúvidas com nossa
atendente.

Faça seu agendamento online

Preencha o formulário abaixo com seus dados para agendarmos uma avaliação em nossa clínica no horário mais adequado para você.

Seu bem-estar é nossa prioridade!

Fale Conosco

(62) 99330-6045

odontologiamaysa@gmail.com

Qd 39 Lt13, Av. Elizabeth Marques - St. Maysa, Trindade - GO, 75380-000

Horário De Atendimento

Segunda à Sexta: das 08:00 às 18:30 Sábados: das 08:00 às 12:00

© Copyright Maysa – 2022. Todos os direitos reservados. Desenvolvido por Alisson Custodio.
Precisa de Ajuda?